夜道で転倒、最初は捻挫だと思っていた
60歳になって久しぶりに骨折を経験し、突然、松葉杖生活が始まりました。
不覚にもというか恥ずかしながらというか、夜の帰り道で(特に何もないいつもの帰り道で)何かに躓いてコントのように転倒し、足を痛めてしまいました。ひどい痛みにビビりながらも、なんとか家まで辿り着いたのですが。
翌朝、起きてはみたものの、とても歩ける状態ではありませんでしたから、朝のアポはキャンセルして病院に行くことにしました。痛みは強いものの、じっとしていればそれほど傷まないので、捻挫かと思っていたのですが。

整形外科での長い待ち時間と読書
レントゲンを撮ってから2時間余り。とんでもなく混んでいる整形外科の待合室で、最近ハマっている司馬遼太郎を読みながら診察に呼ばれるのを待ちました。因みに今読んでいるのは、「燃えよ剣(下)」新撰組の土方歳三の物語です。ちょうど、沖田総司が病床で、自分が死ねば(たれが香華をあげてくれるのだろう)と自分の人生を悔やんでいる、というくだりでした。
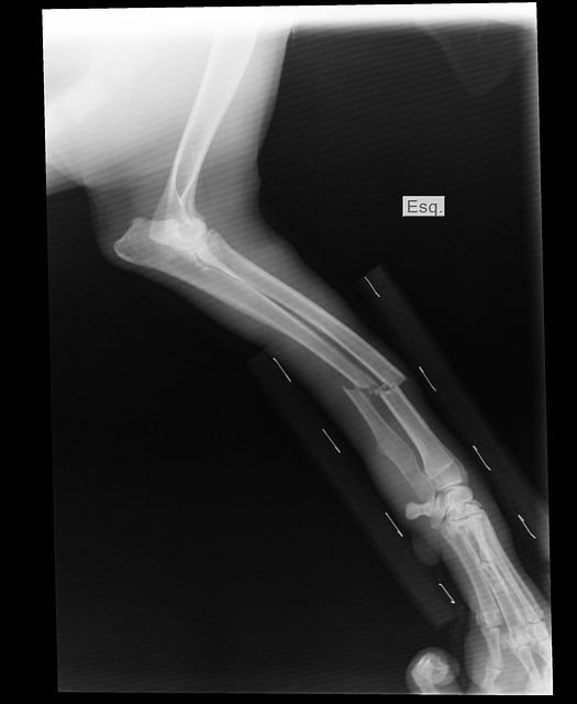
レントゲンで告げられた「折れてます」
診察室に入ると、先生はレントゲンを指差しました。「ここ、白くなってるところ、折れてるんですよ」と申し訳なさそうに言いました。あー折れてるのか、当分ゴルフ出来ないなと私は落ち込みました。新年からパーソナルレッスンに通い始めて、かなりゴルフに入れ込んでいたところだったからです。

処置室に移ると、私はうつ伏せに寝かされました。そして、骨折した左足の膝から下はあっという間にギブスで固められてしまったのです。
松葉杖の歩行レッスンは2分足らず。あとは実践あるのみ、と言ったところでしょうか。
松葉杖初心者にとって200メートルは修行
家人が止めるのを押し切ってタクシーで会食に向かいましたが、タクシーを降りてから店まで僅か200メートルが、松葉杖初心者にはまさに修行のような厳しさでした。健康な方の足全体、健康じゃない方のハムストリング、両手の手のひら、両脇それぞれがそれぞれに悲鳴をあげたのです。

松葉杖で会食
会食は以前、このブログで話したことのあるOさんを、私とK.Kで囲む会でした。グループ会社の社長として多忙なOさんに久しぶりに会えるチャンスでしたから、この機会を逃したくなかったのです。
私の松葉杖姿を見たOさんはひどく驚いていました。まあ、当然ですね。
会食の終盤、攣った私の左足をOさんが床に膝をついてさすってくれました。畏れ多いと固辞する私に、Oさんはこんな事を言ってくれたのです。
「今や私たちは友達ですよ」と。
痛みで冷や汗を流しながら、人に恵まれた幸せを感じた、松葉杖生活1日目の夜でした。

